Long Island Neurosurgical Associates

Pediatric Brain, Skull, Spine, and Spinal Cord Tumors

Pediatric Brain, Skull, Spine, and Spinal Cord Tumors

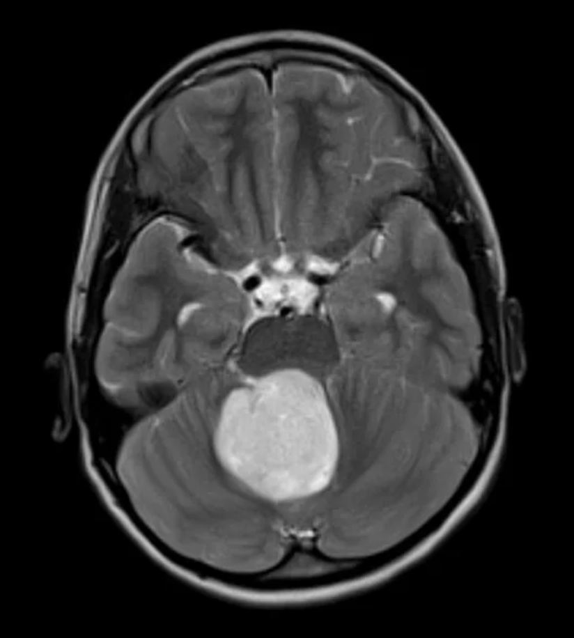
Tumors of the brain, skull, spine, and spinal cord are among the most complex and challenging conditions affecting children. These tumors may be benign or malignant and can arise from many different tissues within the nervous system or surrounding structures. Because a child’s brain and spinal cord are still developing, these tumors require highly specialized evaluation and treatment to preserve neurological function, growth, and long-term quality of life.

Symptoms vary depending on the tumor’s location and size and may include headaches, vomiting, seizures, weakness, balance problems, vision changes, back pain, scoliosis, or changes in bladder and bowel function. Early diagnosis, often through advanced MRI and CT imaging, is critical to optimizing outcomes.

Treatment is carefully tailored to each child and may involve surgery, chemotherapy, radiation therapy, or a combination of these approaches. Advances in neurosurgical technology—including neuronavigation, intraoperative imaging, neurophysiologic monitoring, laser interstitial thermal therapy (LITT), and minimally invasive techniques—allow surgeons to remove or treat tumors with exceptional precision while protecting vital brain and spinal cord structures.

Our multidisciplinary pediatric neuro-oncology team works closely with oncology, radiation oncology, neurology, radiology, pathology, rehabilitation, and supportive care specialists to design a comprehensive treatment plan for every patient. Beyond treating the tumor itself, we focus on the child’s cognitive development, physical recovery, emotional well-being, and long-term survivorship. Families receive ongoing guidance and support throughout the entire course of care, from diagnosis through treatment and long-term follow-up.